今回は前十字靭帯断裂の手術のお話です。
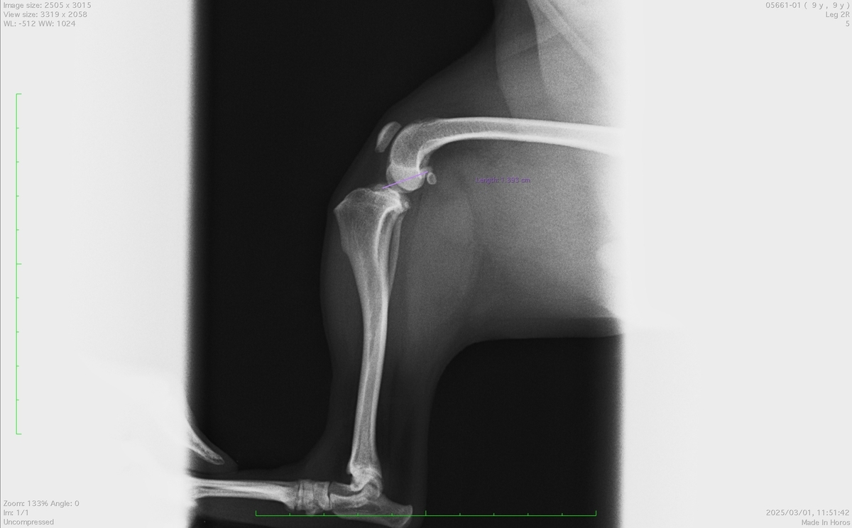
9歳の雑種犬(チワワ×プードル)で左後肢の跛行で来院されました。
触診とレントゲン写真で前十字靭帯断裂と診断しました。

左後肢の脛の骨が右足と比べて前方に変位しているのがわかります。
前十字靭帯断裂の治療の第1選択は手術(TPLO:脛骨高平部水平化骨切り術)となり、この子も手術を行うこととなりました。
手術の目的は膝関節内の確認(前十字靭帯・半月板損傷の有無)と、脛骨高平部の傾斜を水平に近づけることにより、膝関節を安定化させることです。

術前は毛刈りを行い念入りに消毒をおこないます。患肢表面にフィルムドレープを貼ります。

切皮し、関節包を切開し大腿骨滑車が見えます。
この子は膝蓋骨内方脱臼もあったので溝が浅く、軟骨の糜爛病変がありました。

前十字靭帯と半月板の確認です。半月板損傷はありませんでした。

次にTPLOをおこないます。
写真は骨切りを行うラインを描いています。

骨切りスタートです。
この瞬間が一番気を遣います。

骨切り後に骨片を術前の計画通りの距離を回転させます。

目印まで回転させました。

目的の位置で仮固定します。

プレートをあてがい、すべてのスクリューホールが適切な位置にくるように調整します。小型犬は骨が小さいため、ミリ単位の調整が必要で細心の注意を払います。

プレートの位置が決まれば、あとはスクリューを挿入していきます。

スクリュー設置完了です。

膝蓋骨内方脱臼の併発もあったため、滑車の造溝術も行います。

造溝後
手術は予定通り終了です。


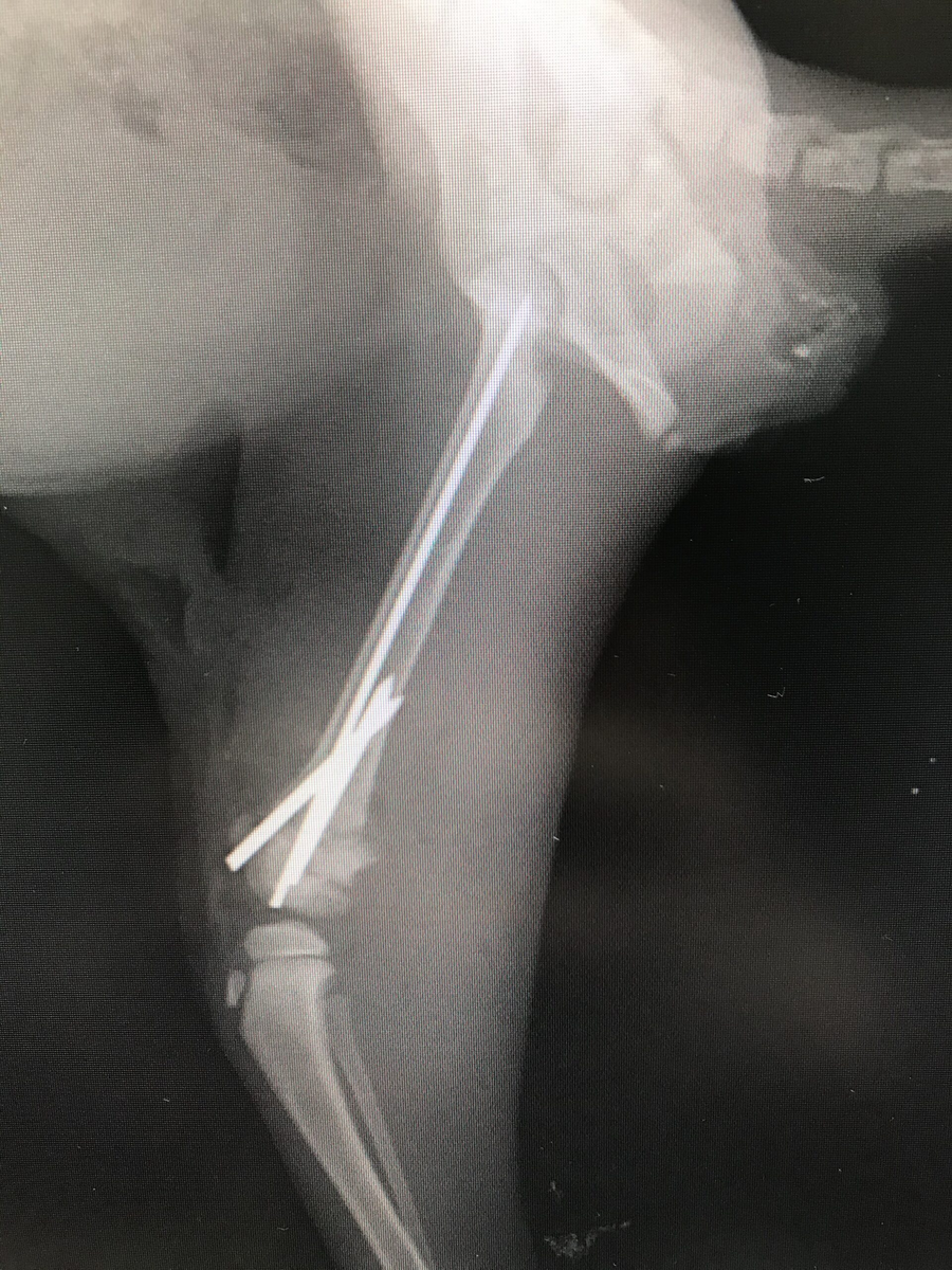
術後レントゲンです。
入院はほとんどの場合、4泊ほどです。
この子も術後の経過は良好で、退院時には多少かばいながらも着肢できていました。
術後1〜2ヶ月もするとかなり回復します。